Karies Weisse Flecken
Zahnschmerzen Durch Karies Zahnarzt Halle Saale Roger Barz I Zahngesundheit Halle
Ist Es Normal Bei Zahnen Zahne Flecken Karies
Karies Bei Kindern Was Tun Bei Kinderkaries Herold At
Fluorose Weisse Flecken Auf Den Zahne
Zahnaerzte Hh Fissurenversiegelung
Wussten Sie Dass Karies Die Weltweit Am Haufigsten Vorkommende Krankheit Ist Dr Jorg Peterke
Weiße Flecken auf dem Zahnschmelz Das Auftreten von Flecken auf den Zähnen weist auf eine Änderung des Schmelzzustands hin Bei weißen Flecken kann deren Auftreten auf das Auftreten solcher Krankheiten hinweisen Fluorose, Hypoplasie;.
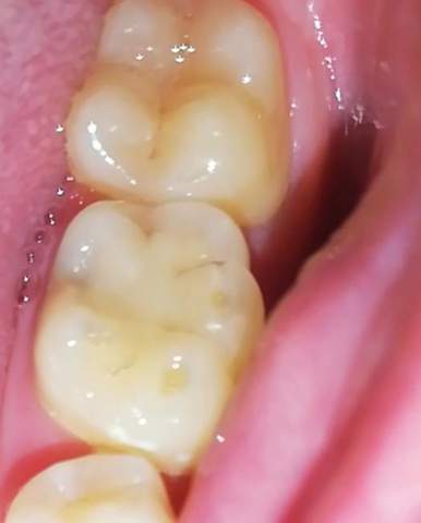
Karies weisse flecken. Karies ist die Bezeichnung der Krankheit, die durch weiße Entkalkungszonen, bräunliche Schmelzflecken, dunkle Verfärbungen oder eben "Löcher" im Zahn in Erscheinung tritt Ebenso kann sie der Grund für die Lockerung oder den Verlust von bereits vorhandenen Füllungen sein. Die eigentlich übliche Remineralisierung und damit eine Zahnschmelzhärtung durch den Speichel ist wegen des Plaquebelags nicht möglich So bilden sich an den betroffenen Stellen des Zahnschmelzes kreidig weiße Flecken (White spots) oder bräunliche Flecken Hierbei handelt es sich noch um eine Vorstufe der Karies. Bis zu einem gewissen Grad können Sie beginnenden Karies also selbst entfernen – die Schäden bleiben aber dauerhaft bestehen Die weißen Flecken bleiben Einmal zerstört können Sie die harte Abwehrschicht des Zahnschmelz nicht mehr aufbauen Das Fluoridgel bildet lediglich eine künstliche Abwehr gegen neuen Bakterienbelag.
Sie können einzig verhindern, dass die Kariesbakterien tiefer in Ihren Zahn eindringen und dort noch. Stadien der Karies reichen von der Initialkaries über die Dentinkaries bis zur Caries penetransSie werden mittels spezieller Sonden diagnostiziert Initialkaries Als Kariesvorstufe (Initialkaries) bilden sich zuerst EntkalkungenDiese sind makroskopisch als weiße Flecken (englisch white spot, lat macula alba) erkennbarDurch Einlagerungen von Farbpigmenten aus der Nahrung werden diese. Sofern sich weiße Flecken auf vormals normal gefärbten Zähnen zeigen, ist dies ein deutlicher Hinweis auf eine sogenannte Initialkaries Dieses Frühstadium der Karies bewirkt eine Demineralisierung des Zahnschmelzes, der sich in der Folge heller färbt Wird die Demineralisierung nicht behandelt, verfärben sich die weißen Flecken.
Erstes Stadium Weiße Flecken Das erste Stadium der Karies beginnt, wenn kreidige weiße Flächen auf der Oberfläche der Zähne aufgrund des Kalziumverlustes und der Ansammlung von Plaque entstehen Bakterien in der Plaque beginnen dann, Zucker aus Speiseresten zu metabolisieren. In ihrem Anfangsstadium sind die weißen Flecken auf den Zähnen für uns Normalos nicht zu erkennen und wenn doch, dann schätzen wir sie häufig als harmlos ein, schließlich kennen die meisten von uns nur braune Verfärbungen der Zähne, nämlich in Form von Karies Doch auch weiße Flecken sind nicht zu unterschätzen. Fluorose Die häufigste Ursache für weiße Flecken Hinter weißen Flecken auf den Zähnen können in der Regel zwei Ursachen stecken Nach einem professionellen Bleaching mit Wasserstoffperoxid treten helle Flecken nach der Behandlung sogar recht häufig auf, verschwinden aber innerhalb weniger e üblicherweise von selbst.
Sollten Ihre Milchzähne einst von Karies befallen gewesen sein, kann sich dies auch auf die bleibenden Zähne ausgewirkt haben Diese würden dann nämlich auch weiße Flecken aufweisen, welche jedoch auf eine Entmineralisierung und nicht auf eine Initialkaries hindeuten würden. Kurzübersicht Was ist Karies?. Treten einzelne braune oder weiße Flecken auf den Zähnen auf, ist jedoch häufig Karies die Ursache Putzen Sie sich gründlich die Zähne Wenn die Flecken weiterhin vorhanden sind, handelt es sich meistens um eingefärbten Zahnstein oder Karies – sehr selten können auch Medikamente wie Antibiotika die Ursache für braune Flecken sein.
Weiße Ablagerungen durch beginnende Karies unterscheiden sich deutlich von der natürlichen Zahnfarbe Die demineralisierten Stellen (weiße Flecken oder Ablagerungen, die sich von der natürlichen Zahnfarbe unterscheiden) bekommen Sie ohne professionelle Behandlung nicht mehr weg;. Weisse Flecken auf den Zähnen können ein erstes Anzeichen für Karies sein Erfahren Sie hier mehr über die Symptome bei Karies Schmerzempfindliche Zähne können ein Anzeichen für Zahnschmelzabbau sein Mehr erfahren Zahnbelag kann nur mechanisch, das heisst mit Zahnbürste und Zahnseide, entfernt werden. Karies wird umgangssprachlich auch Zahnfäule genannt Sie entsteht, wenn Säuren, die von Bakterien im Zahnbelag produziert werden, die Zahnhartsubstanz zerstören Die Bakterien ernähren sich von Zucker und scheiden dann die zahnschädigenden Säuren als Stoffwechselprodukte aus Anfangs zeigen sich lediglich weiße Flecken auf der.
Karies im Frühstadium Außerdem können weiße Flecken über die Entmineralisierung von Zahnschmelz. Zur Behandlung bei Karies im Anfangsstadium als Auslöser genügt oftmals die Zugabe von Fluorid, um Löcher in den Zähnen zu vermeiden Zum Teil ist eine geringe Bohrung notwendig, um das bereits entstandene Loch zu behandeln. Doch ist das Karies?.
Weiße Flecken können ein Hinweis auf Karies in der Anfangsphase sein Der sogenannte initiale Karies entzieht dem Zahn Kalk & andere Mineralstoffe und sorgt für einen veränderten Farbton (Schmelzflecken). Die Anzeichen und Symptome von Karies variieren je nach Art und Schwere des Problems Einige häufige Symptome sind Zahnschmerzen, Zahnempfindlichkeit, leichte bis starke Schmerzen beim Essen oder Trinken, sichtbare Löcher oder Vertiefungen im infizierten Zahn und schwarze, braune oder weiße Flecken auf der Zahnoberfläche. Erste Anzeichen beginnender Karies können kreidigweiße Flecken auf der Zahnoberfläche sein Verschiedene Maßnahmen sollen das Voranschreiten der Karies in diesem Stadium verhindern Sie zielen darauf ab, das übermäßige Herauslösen von Mineralien aus den Zähnen zu stoppen Zudem sollen Mineralien wieder in die Zähne eingelagert werden.
• Karies frühzeitig stoppen • Weiße Flecken behandeln Statt Bohren einfach »Auffüllen« mit einem flüssigen Kunststoff Die Infiltrationsbehandlung bringt schonend und schnell sichtbare Ergebnisse Vorteile der Behandlung mit Icon • Kein Bohren, keine Spritze • Die Zahnsubstanz bleibt erhalten. Erste Anzeichen beginnender Karies können kreidigweiße Flecken auf der Zahnoberfläche sein Verschiedene Maßnahmen sollen das Voranschreiten der Karies in diesem Stadium verhindern Sie zielen darauf ab, das übermäßige Herauslösen von Mineralien aus den Zähnen zu stoppen Zudem sollen Mineralien wieder in die Zähne eingelagert werden. Anzeichen einer beginnenden Karies können beispielsweise weiße Flecken auf der Zahnoberfläche sein Sie deuten auf einen Mangel an Mineralien hin Karies entsteht, wenn sich Beläge aus Zucker und Bakterien am Zahn gebildet haben und über längere Zeit nicht richtig entfernt werden Bakterien ernähren sich von Zucker.
Auch Kinder, die unter starkem Kariesbefall an den Milchzähnen neigen, bekommen am permanenten Gebiss häufig weiße Flecken Mehr dazu auf netdoktorat Vorbeugung gegen Karies Schmelz in Gefahr Wenn Erwachsene von weißlichen Flecken an den Zähnen geplagt werden, dann ist dies häufig Ansammlungen von Plaque geschuldet. Die häufigste Ursache für White Spots am Zahn sind – wie zuvor erwähnt – anfängliche Schäden durch Karies, die ein Ausdruck davon sind, dass der Zahnschmelz nicht ausreichend mit Mineralien versorgt wird Nichtsdestotrotz ist dies nicht der einzige Grund für das Erscheinen von weißen Stellen am Zahn. Eine weitere mögliche Ursache der hellen Flecken auf den Zähnen könnte ein Zeichen für Karies im Anfangsstadium sein Werden die weißen Stellen, so genannte ‚white spots’, schnell entdeckt und begrenzen sich diese auf den Zahnschmelz, können sie bei geeigneter Behandlung.
Die weiße Karies – auch Karies alba oder Karies humida (weiche Karies) genannt – schreitet sehr schnell fort Im Gegensatz zur schwarzen Karies – auch Karies nigra oder Karies sicca (trockene Karies) genannt die praktisch zum Stillstand gekommen ist und meist nicht behandelt werden muss ich habe auch diese weissen Flecken und. Erstes Stadium Weiße Flecken Das erste Stadium der Karies beginnt, wenn kreidige weiße Flächen auf der Oberfläche der Zähne aufgrund des Kalziumverlustes und der Ansammlung von Plaque entstehen Bakterien in der Plaque beginnen dann, Zucker aus Speiseresten zu metabolisieren. Zu viel Fluorid kann weiße Flecken auf Milch oder bleibenden Zähnen hervorrufen Die milde Form der Fluorose ist zwar unschön, aber meist harmlos Es gilt, die Fluoridzufuhr zur Vorbeugung von Karies richtig zu dosieren Fluoride sind einer der weltweit am gründlichsten untersuchten Wirkstoffe.
Treten einzelne braune oder weiße Flecken auf den Zähnen auf, ist jedoch häufig Karies die Ursache Putzen Sie sich gründlich die Zähne Wenn die Flecken weiterhin vorhanden sind, handelt es sich meistens um eingefärbten Zahnstein oder Karies – sehr selten können auch Medikamente wie Antibiotika die Ursache für braune Flecken sein. Sollten Ihre Milchzähne einst von Karies befallen gewesen sein, kann sich dies auch auf die bleibenden Zähne ausgewirkt haben Diese würden dann nämlich auch weiße Flecken aufweisen, welche jedoch auf eine Entmineralisierung und nicht auf eine Initialkaries hindeuten würden. Weiße Flecken auf den Zähnen können ein erstes Anzeichen für Karies sein Erfahren Sie hier mehr über die Symptome bei Karies Zahnbelag kann nur mechanisch, das heißt mit Zahnbürste und Zahnseide, entfernt werden.
Karies als Ursache für weiße Flecken auf den Zähnen – und jetzt?. Neben der Fluorose können weiße Flecken auf Zähnen auch als Folge eines Zahnunfalles in der Kindheit entstehen So können bei einem Sturz die Milchzähne die bleibenden Zahnkeime verletzen Die Milchzähne, dass gilt für den Oberkiefer und denn Unterkiefer, schieben sich in den Kiefer hinein. Weisse Flecken auf den Zähnen können ein erstes Anzeichen für Karies sein Erfahren Sie hier mehr über die Symptome bei Karies Schmerzempfindliche Zähne können ein Anzeichen für Zahnschmelzabbau sein Mehr erfahren Zahnbelag kann nur mechanisch, das heisst mit Zahnbürste und Zahnseide, entfernt werden.
Im frühen Stadium der Erkrankung verläuft Karies ohne Beschwerden oder Schmerzen Erste Anzeichen stellen sich als weiße Flecken am Zahn dar, die dadurch zustande kommen, dass die Bakterien Mineralstoffe aus dem Zahnschmelz lösen Bei bereits bestehenden Defekten des Zahnschmelzes verfärbt sich die betroffene Stelle gelb oder braun. Wie entsteht eine solche weiße Stelle am Zahn?. Sehr geehrte Frau Dr Esch, ich habe gerade mit Schrecken festgestellt, dass mein 19Monate alter Sohn weiße Flecken an den oberen Frontzähnen.
Sie haben weiße Flecken auf den Zähnen Ihres Kindes bemerkt und sind nicht sicher, ob diese ein rein kosmetisches oder ein gesundheitliches Problem darstellen?. Die anfängliche Karies im Stadium der weißen Flecken ist besonders auf den vorderen oberen und unteren Zähnen bemerkbar es genügt, vor dem Spiegel zu stehen und die Oberfläche des Zahnes etwas zu trocknen Demineralisierungsstellen erscheinen als weiße Flecken (die sogenannte weiße Karies). Das witzige ist, diese Flecken sind mir nach dem alljährlichen Zahnarztbesuch aufgefallen, noch am selben Beim KFO oder Zahnarzt war ich jetzt noch nicht da ich eine Grippe hab und auf die schnelle noch keinen Termin machen konnte, werde aber nach dem Wochenende zum KFO gehen, mal gucken was der sagt.
Bei Karies als Ursache sieht die Lage natürlich anders aus Der Zahnarztbesuch ist unumgänglich – denn in dieser Phase des Karies ist der Zahnschmelz bereits angegriffen Wird hier nicht entgegen gewirkt, weitet sich die Infektion weiter aus. Anzeichen einer beginnenden Karies können beispielsweise weiße Flecken auf der Zahnoberfläche sein Sie deuten auf einen Mangel an Mineralien hin Karies entsteht, wenn sich Beläge aus Zucker und Bakterien am Zahn gebildet haben und über längere Zeit nicht richtig entfernt werden Bakterien ernähren sich von Zucker. Zahngesundheit von Babys und Kleinkindern Was tun bei weissen Flecken/ beginnende Karies?.
Sollten Ihre Milchzähne einst von Karies befallen gewesen sein, kann sich dies auch auf die bleibenden Zähne ausgewirkt haben Diese würden dann nämlich auch weiße Flecken aufweisen, welche jedoch auf eine Entmineralisierung und nicht auf eine Initialkaries hindeuten würden. Wir vom Zahnmedizinischen Zentrum Kredent sind spezialisiert auf KinderzahnheilkundeIm Folgenden klären wir Sie gerne über die Ursachen der ominösen weißen Flecken auf und raten Ihnen, wie Sie am besten reagieren. Karies ist eine bakterielle Erkrankung der Zähne Die drei unterschiedlichen Arten von Karies beziehen sich auf den jeweiligen Zahnbereich, der typischerweise durch die Krankheit geschädigt ist Von Zahnhalskaries sind meist ältere Menschen ab 60 Jahren betroffen, bei denen sich das Zahnfleisch allmählich zurückzieht.
Weiße gestielte oder gelbe Gebilde auf den Zähnen verursachen nicht nur ästhetische Beschwerden, sondern weisen auch auf ernsthafte Erkrankungen hin Um die Gesundheit zu erhalten, müssen Sie wissen, welche Flecken auf den Zähnen gebildet werden, wie sie richtig behandelt werden und wie gefährlich sie sind. Die weiße Karies – auch Karies alba oder Karies humida (weiche Karies) genannt – schreitet sehr schnell fort Im Gegensatz zur schwarzen Karies – auch Karies nigra oder Karies sicca (trockene Karies) genannt die praktisch zum Stillstand gekommen ist und meist nicht behandelt werden muss ich habe auch diese weissen Flecken und. Weiße Flecken im Zahnschmelz, die ersten sichtbaren Anzeichen einer beginnenden Karies, verschwinden wieder ICON® wird von unseren Patienten durchweg positiv beurteilt, und wir selbst haben mit diesem Verfahren nur beste Erfahrungen gemacht.
Verschiedene Schweregrade der Karies Die Initialkaries (caries insipiens), entkalkt zunächst den harten und robusten Zahnschmelz Diese Entkalkung zeigt sich auf dem Zahn durch helle, weiße Flecken Nahrungsmittel können diese Flecken dann auch unschön dunkel verfärben. Behandlung von White Spots in Lüneburg (weiße Flecken auf Zähnen) Viele kennen die weißen Flecken auf den Zähnen und empfinden diese besonders im Erwachsenenalter als störend Besonders fallen die sogenannten white spots auf den vorderen sichtbaren Schneidezähnen auf. Karies und weiße flecken Hallo, Wie gesagt besser den Zahn entfernen Bitte ein Röntgenbild machen lassen und dann möglicherweise bei einem Kinderzahnarzt über die Möglichkeiten einer Sedierung beraten lassen Leider haben Kinder, die an einer Stelle ein großes Loch haben auch an anderen Zähnen bereits eine versteckte Karies.
Wird der Zahnschmelz durch Bakterien und die durch sie produzierte Säure geschädigt, entsteht Karies Im Frühstadium zeigt sich die Karies auf dem Zahn durch braune oder weiße Flecken, die sich im Laufe ausdehnen und vertiefen Schmerzhaft wird die Karies erst, wenn der Zahnschmelz durchbrochen wurde Das typische "Loch im Zahn" entsteht. Karies und weiße flecken Hallo, Wie gesagt besser den Zahn entfernen Bitte ein Röntgenbild machen lassen und dann möglicherweise bei einem Kinderzahnarzt über die Möglichkeiten einer Sedierung beraten lassen Leider haben Kinder, die an einer Stelle ein großes Loch haben auch an anderen Zähnen bereits eine versteckte Karies. Weiße Flecken auf der Haut – die ärztliche Diagnose Sobald sich weiße Flecken auf der Haut zeigen, sollte umgehend ein Hautarzt aufgesucht werden, um Ursachenforschung zu betreiben Der Mediziner kann meist schon anhand der Blickdiagnose eine Einschätzung geben, ob es sich um die Weißfleckenkrankheit oder andere Hautveränderungen handelt.
Karies sieht doch immer gleich aus?. Weiße Flecken auf den Zähnen können ein erstes Anzeichen für Karies sein Erfahren Sie hier mehr über die Symptome bei Karies Die meisten Zahnverfärbungen lassen sich durch eine gründliche und regelmäßige Zahnpflege reduzieren Erfahren Sie hier mehr Tipps gegen gelbe Zähne Plaque enthält ein Sammelsurium unterschiedlicher Bakterienarten. Weit verbreitete Zahnerkrankung, bei der die Zahnhartsubstanz sukzessive zerstört wird Ursachen Zusammenspiel aus Mikroorganismen und schädlichen Faktoren wie mangelnde Mundhygiene und zuckerreiche ErnährungWeitere Risikofaktoren sind ua ein Mangel an Speichel und ein geschwächtes Immunsystem;.
Muss jeder dunkle fleck am zahn entfernt werden nein in diesem video gehen wir verschiedene verfärbungen an den zähnen durch und am ende sollten sie in de. Dieser Vorbote der Karies bewirkt eine Entmineralisierung des Zahns und weitere weiße Flecken sind die Folge Wird jetzt nicht eingegriffen, schreitet der Kariesbefall weiter vor und die weißen Flecken nehmen eine dunkle Farbe an Aufgrund der angerauten Zahnoberfläche finden Kleinstteile aus der täglichen Nahrung Halt im Zahn. Weiße Flecken entfernen – wie ist dies möglich?.
Weiße Flecken auf den Zähnen Karies droht Beginnende Karies ist heilbar, wird aber nur vom Experten rechtzeitig erkannt Die Behandlung setzt an den Ursachen an und ist vollkommen schmerzfrei. Karies und weiße flecken hallo Meine Tochter ist 7 jahre schon 8 schulzähne Wir putzen morgens und abends mit Elmex Junior und 1mal die woche mit Elmex Gelee Habe noch zusätzlich eine mundspülung gekauft Seit ca 1,5 Jahren hat sie starke probleme mit den Zähnen es sind oben links wie rechts. Wir erklären, wie weiße Flecken entstehen und wie man sie behandelt Ursache für weiße Flecken Das Zusammenspiel von Fluoridtabletten, fluoridhaltiger Zahnpasta und Fluoridsalz kann zu einer Fluorose führen Das Risiko für Patienten eine Fluorose zu bekommen ist individuell verschieden.
Die weiße Karies – auch Karies alba oder Karies humida (weiche Karies) genannt – schreitet sehr schnell fort Im Gegensatz zur schwarzen Karies – auch Karies nigra oder Karies sicca (trockene Karies) genannt die praktisch zum Stillstand gekommen ist und meist nicht behandelt werden muss ich habe auch diese weissen Flecken und. Karies entsteht nicht von heute auf morgen, sondern über einen längeren Zeitraum Bakterien sammeln sich auf der Zahnoberfläche und bilden Plaque Erste sichtbare Zeichen sind kleine weiße Flecken im Zahnschmelz – die sogenannte Initialkaries. Karies entsteht nicht von heute auf morgen, sondern über einen längeren Zeitraum Bakterien sammeln sich auf der Zahnoberfläche und bilden Plaque Erste sichtbare Zeichen sind kleine weiße Flecken im Zahnschmelz – die sogenannte Initialkaries.
Weiße Flecken auf den Zähnen können ein erstes Anzeichen für Karies sein Erfahren Sie hier mehr über die Symptome bei Karies Seit Jahrzehnten wird das Trinkwasser in verschiedenen Ländern wie zum Beispiel USA, Kanada, Irland und Australien mit Fluorid versetzt. Weiße Flecken durch Fluorid sind zwar nicht immer schädlich und deuten auch nicht auf Karies hin, doch aus ästhetischer Sicht für die Betroffenen oft unschön Generell gilt die Behandlung von weißen Flecken und Verfärbungen auf Zähnen als aufwändig und kostenintensiv Vorbeugung ist daher die beste Medizin. Stadien der Karies reichen von der Initialkaries über die Dentinkaries bis zur Caries penetransSie werden mittels spezieller Sonden diagnostiziert Initialkaries Als Kariesvorstufe (Initialkaries) bilden sich zuerst EntkalkungenDiese sind makroskopisch als weiße Flecken (englisch white spot, lat macula alba) erkennbarDurch Einlagerungen von Farbpigmenten aus der Nahrung werden diese.
Karies ist eine Erkrankung von Zahnschmelz und Zahnbein (Dentin) Sie beginnt mit einer Vorstufe, der sog Initialkaries Hier werden auf dem Zahn kleine, weiße Flecken sichtbar, an denen bereits Entmineralisierungsprozesse stattgefunden haben Farbpigmente aus Nahrungsmitteln färben im Laufe der Zeit die zunächst hellen Flecken dunkel ein.
Bleaching Oder Hausmittel Was Hilft Gegen Zahnverfarbungen
Allgemein
Karies Ursachen Symptome Und Pravention Netdoktor
Kariesvorstufen Was Bedeuten Flecken Auf Den Zahnen Gesund Leben Apotheken
Fluoroseflecken Auf Den Zahnen Behandeln Dentalmagazin De
Fleck Weg Ohne Bohren Zahnspangen Und Kieferorthopadie In Heidelberg Ziegelhausen
Weisse Flecken Auf Den Zahnen Ursachen Behandlung Vorbeugung Gesundpedia De
Fluorosen Vermeidung Der Weissen Flecken Auf Den Zahnen
Wie Aussert Sich Karies Zahnarzt Praxis Ludwigshafen Prof Dr Dhom Mannheim
Dentcoat Op Saubere Weisse Flecken Auf Den Zahnen Nach Der Zahnspange Dentcoat
Karies Apotheken Umschau
Muss Bei Karies Immer Gebohrt Werden Zahn De
Weisse Flecken Auf Kinderzahnen
Faq Angeborene Schmelzdefekte Geburt In Eigenregie
Zahn Gelb Braun Verfarbt Wie Zerkratzt Zahnschmelz Karies Zahne Zahnmedizin Zahnstein
Karies Ist Nicht Nur Ein Loch Im Zahn Infos Zu Vorbeugung Ursachen
Schwarze Zahne Konnen Schmerzfrei Behandelt Werden
Karies Bei Kindern Was Tun Bei Kinderkaries Herold At
Weisse Flecken Auf Den Zahnen Karies Droht Dr Med Dent Thomas Lang Ganzheitliche Zahnmedizin
Braune Flecken Auf Den Zahnen Ursachen Behandlung Hilfe Medlexi De
Ursache Fur Weissen Fleck Im Zahn Mit Bild Gesundheit Ernahrung Zahne
Weisse Flecken Auf Den Zahnen Sind Vorboten Fur Karies Zwp Online Das Nachrichtenportal Fur Die Dentalbranche
Karies Apotheken Umschau
Karies Vermeiden
Zahnaerzte Hh Fissurenversiegelung
Fur Patienten Beratung Service
Kariesbehandlung Schmerzfrei Fur Kinder Und Erwachsene
Zahpflege Was Wirklich Gegen Karies Hilft Mz De
Was Sind Die Weissen Stellen An Meinen Zahnen Zahne Zahnarzt Flecken
Strahlend Weiss Gelb Oder Braunlich
Karies Zahnarztzentrum Swiss Smile
Tdcuutmqywngsm
Karies Ihr Freundlicher Zahnarzt Berlin Mitte Zahnarztmitte
Schwanger Und Kind Zahngesunde Ernahrung
Karies Ursachen Symptome Behandlung
Weisse Flecken Auf Den Zahnen Ist Karies Der Grund Dentalwissen
Weisse Zahne Wie Sie Zahnverfarbungen Optimal Vorbeugen Dentolo
Braune Flecken Hinter Den Zahnen Gesundheit Und Medizin Zahne
Das Bedeuten Weisse Flecken Auf Den Zahnen Wienerin
Weisse Zahnfullungen Julich Zahnarztpraxis Dres Dwornik
Ist Da Karies Oder Eine Verfarbung Zahne Zahnarzt Kariesbehandlung
Karies In Den Milchzahnen Ist Gefahrlich
Karies Apotheken Umschau
Karies Symptome Beschwerden Ursachen Behandlung Zahnimplantate Com
Warum Bekomme Ich Immer Wieder Karies Dr Annette Jasper
Karies
Die Karies Macht Einen Bogen Um Die Hypoplasie Zm Online
Mundkrankheiten Diese Bilder Helfen Beim Erkennen
Karies Focus Arztsuche
Bohren Nein Danke White Spots Mit Dem Kariesinfiltrationsverfahren Entfernen
Forscher Suchen Nach Neuen Methoden Im Kampf Gegen Karies Zwp Online Das Nachrichtenportal Fur Die Dentalbranche
Dunkle Flecken An Den Backenzahnen Kein Karies Zahne
Feste Zahnspange Und Karies
Internationales Karieserkennungs Und Beurteilungssystem Icdas Ii
Zahnarzt Scharbeutz Prophylaxe Implantate Mundscanner Abdrucklose Abformung Digitaler Zahnabdruck Schonende Zahnbehandlung Ostsee
Woher Kommen Weisse Flecken Auf Den Zahnen Dr Burger
Was Ist Das Zahne Weisse Schicht Und Evtl Karies Mit Bild Zahnarzt Zahnmedizin Zahnpflege
Zahnpflege Kieferorthopadie Lippstadt Dr Bianca Mertens
Bohren Nein Danke White Spots Mit Dem Kariesinfiltrationsverfahren Entfernen
Der Moderne Mund Ist Dauerkrank Wissen
Dentalfluorose Unschone Weisse Flecken
Zahnspangen Mythen Wahr Oder Falsch 360 Zahnspange
Zahpflege Was Wirklich Gegen Karies Hilft Mz De
Karies Zur Halfte Gefullt Zahne
Woher Kommen Weisse Flecken Auf Den Zahnen
Karies
Was Ist Das Auf Meinen Zahnen Zahne Karies Belag
White Spot Management In Der Kieferorthopadie Fachgebiete Zmk Aktuell De
Karies Ihre Apotheke Informiert Uber Zahnhygiene
Karies
Die Gefahr Aus Der Nuckelflasche Mehr Karies Bei Kleinkindern Aktuelle Stunde Fernsehen Wdr
Fluorosen Vermeidung Der Weissen Flecken Auf Den Zahnen
Karies Bei Kindern Focus Arztsuche
White Spots On Teeth Cause Folks To Become More Self Conscious About Their Smile Of Course Having Pea Mundhygiene Nagelpilz Hausmittel Weisse Zahne Hausmittel
Auch Milch Kann Bei Kindern Zu Karies Fuhren Leben
Karies Symptome Behandlung Vorbeugung Gesundheit De
Mikroinvasive White Spots Entfernung Durch Infiltration Weisse Flecken Schonend Behandeln Mit Icon Dr Jurgen Kohler
Karies Apotheken Umschau
Mysteriose Krankheit Wenn Kinderzahne Plotzlich Brockeln N Tv De
Woher Kommen Weisse Flecken Auf Den Zahnen
Karies
Schwarze Zahne Konnen Schmerzfrei Behandelt Werden
Ist Dieser Zahn Mit Karies Befallen Zahne
Ist Das Karies Brauner Fleck Zahne Zahnarzt
Die Problematik Der Molaren Inzisiven Hypomineralisation Zm Online
Stillen Und Karies Still Lexikon
Fluoroseflecken Auf Den Zahnen Behandeln Dentalmagazin De
Karies Vermeiden
Weisse Flecken Auf Den Zahnen Ist Karies Der Grund Dentalwissen
Mooci Weisse Flecken Auf Den Zahnen Woher Kommen Sie
Karies Und Parodontitis Was Zahnen Schadet Stern De
Karies So Sind Sie Optimal Gegen Die Faulnis Gewappnet Dentolo
Fluoroseflecken Auf Den Zahnen Behandeln Dentalmagazin De
Weisse Flecken Auf Den Zahnen Ursachen Fur White Spots Zahnarzt Berlin Friedrichshain


